L'Universo e l'origine della vita

Evoluzione biologica
dei viventi

Antonio Bonfitto

Home
Il Precambriano: dalla formazione della Terra fino a 590 milioni di anni fa
Paleozoico: da 590 a 248 milioni di anni fa
Mesozoico o Era Secondaria: da 225 a 65 milioni di anni fa
Cenozoico:gli ultimi 65 milioni di anni
Letture e internet

Il Precambriano: dalla formazione della Terra fino a 590 milioni di anni fa

Esistono prove documentali che dimostrano come l'atmosfera in cui si svolsero le prime tappe dell'evoluzione degli organismi viventi fosse riducente o, quantomeno, non ossidante, con condizioni virtualmente anossiche. Prove induttive, derivanti dall'analisi dell'attuale biochimica dei viventi, mostrano, altresì, che molte delle vie metaboliche che conducono alla sintesi di composti ad elevato contenuto di carbonio (ad esempio, gli acidi grassi) rappresentano il risultato finale di un lungo processo il cui le singole tappe ossidative configurano altrettante aggiunte, caratteristiche di organismi man mano più evoluti, rese possibili da una crescente disponibilità ambientale di ossigeno.

Oggi si crede che la vita sulla Terra sia comparsa molto precocemente, poco più di 500 milioni di anni dopo la sua formazione, quindi circa 4 miliardi di anni fa. Indipendentemente dalle differenti scuole di pensiero circa l'origine della vita, è opinione pressoché comune che i primi organismi viventi (protobionti) fossero microscopici, unicellulari, procarioti, simili agli attuali batteri sferoidali (cocchi) (Fig. 1). Probabilmente formavano un sottile strato vivente sul fondo di bassi mari epicontinentali, dove si nutrivano di sostanza organica continuamente formata per via non biologica e direttamente disponibile nel mezzo ambiente. Si trattava, quindi, di organismi eterotrofi che, vivendo in condizioni pressoché anossiche, erano costretti a operare la fermentazione delle sostanze assorbite dall'ambiente. Tuttavia, un processo evolutivo basato su un organismo eterotrofo è messo in crisi nel momento in cui il tasso di produzione delle sostanze organiche è superato dal tasso di utilizzazione delle stesse. È molto probabile che molto presto, in seno a queste comunità eterotrofe, sia sorta una stirpe di organismi autotrofi. Questo, probabilmente, avvenne nel momento in cui la competitività nell'approccio alle risorse, ormai prossime all'esaurimento, rese premiante, in termini adattativi, la capacità di sintetizzare autonomamente le sostanze nutritive necessarie alla sopravvivenza. Si sviluppò, quindi, la fotosintesi, la più plausibile delle forme di autotrofismo. Le prime forme autotrofe operavano, tuttavia, una fotosintesi anaerobia, analoga a quella operata da certi batteri attuali. Nel corso di questo tipo di fotosintesi non viene prodotto ossigeno come elemento secondario della reazione (viene liberato zolfo ed acqua) ed essa non può avvenire in sua presenza. Alcune rocce provenienti dalla formazione di Isua (Groenlandia), datate circa 3,8 miliardi di anni, mostrano già un rapporto tra gli isotopi stabili del Carbonio che è indice della presenza di organismi fotosintetizzanti. Poco più tardi, da questi batteri anaerobi si originarono i primi organismi in grado di operare una fotosintesi aerobia (in pratica i precursori dei moderni Cianobatteri). L'ossigeno liberato nel corso di questa nuova fotosintesi costrinse i fotosintetizzanti anaerobi a sottrarsi all'azione tossica del gas, rifugiandosi negli strati più profondi della colonna d'acqua, dove ancora permanevano quelle condizioni di anossia indispensabili alle loro modalità fotosintetizzanti. Gli aerobi scalzarono, quindi, gli anaerobi dal vertice di queste prime comunità, relegandoli in ambiti marginali, scarsamente illuminati, lontani dalla luce necessaria al processo fotosintetico. Ancor oggi molti batteri fotosintetizzanti anaerobi occupano questi habitat.

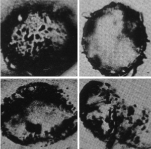
batteri
Figura 1. Microfossili di procarioti sferoidali provenienti (in alto) dalla formazione di Fig Tree (Swaziland, Sud Africa) (3,1 miliardi di anni) e (in basso) dalla formazione di Witwatersband (Transvaal, Sud Africa) (2,7 miliardi di anni).

Cosa sappiamo di queste prime forme di vita? Molto poco. I fossili precambriani sono rari, poco conosciuti e, addirittura, restano dubbi sulla natura biologica di molte delle strutture interpretate come fossili. Tra le più antiche forme di vita descritte (per alcune delle quali sussistono, appunto, dubbi), vi sono alcune forme filamentose o sferoidali interpretate come batteriche e provenienti dalla formazione di Pilbara (Australia Nord occidentale), e dalla formazione di Fig-Tree (Swaziland, Sud Africa), risalenti a circa 3,5-3,1 miliardi di anni fa. Meno problematica risulta l'interpretazione delle cosiddete stromatoliti, fossili costituiti da lamine di selce impilate che sembra siano il risultato del metabolismo di colonie batteriche filamentose (Fig. 2). Ancor oggi tali strutture si formano in alcune zone dell'Australia (Shark Bay) come risultato dell'azione biologica di colonie di Cianobatteri fotosintetizzanti. Stromatoliti fossili sono presenti sia nella formazione di Pilbara che in quella di Fig-Tree. Studi compiuti sui sedimenti che le contengono hanno evidenziato la presenza di catene carboniose derivate dalla demolizione di sostanze componenti le clorofille. Quindi, colonie formate da organismi fotosintetizzanti aerobi hanno iniziato a immettere ossigeno nell'ambiente già a partire da circa 3 miliardi di anni fa. Tuttavia, per molto tempo, la presenza nell'ambiente di minerali in grado di reagire con l'ossigeno, come il ferro, impedì che esso potesse accumularsi nell'atmosfera. Significative al riguardo sono le imponenti formazioni di minerali sedimentari la cui genesi è strettamente legata alla concentrazione di ossigeno nell'ambiente. Un esempio in tal senso è rappresentato dall'Uraninite (UO2) che si rinviene in depositi formatisi nei letti di alcuni corsi d'acqua precambriani. In presenza di ossigeno questo minerale si ossida facilmente (in U3O8) sciogliendosi. È stato dimostrato che questi depositi non avrebbero potuto formarsi in presenza di una concentrazione di ossigeno superiore all'1%. I depositi di uraninite sono più vecchi di 2 miliardi di anni e non si rinvengono mai in depositi più recenti. Questo potrebbe indicare che, a partire da quella data, la concentrazione di ossigeno nell'ambiente sia stata tale da impedire la formazione dei depositi di uraninite. Circa 2 miliardi di anni fa compaiono altre formazioni minerali molto interessanti, si tratta di formazioni ferrose note come red beds (letti rossi), formati da ossidi di ferro trivalente (limonite Fe2O3), che non compaiono in sequenze più antiche. Prima della scoperta delle più antiche stromatoliti si pensava che i red beds fossero il risultato di un processo ossidativo non biologico del ferro bivalente. Oggi si ritiene, al contrario, che l'ossigeno utilizzato sia di origine biologica. La prova mineralogica più convincente, tuttavia, sembra essere rappresentata da un altro tipo di deposito di ferro: le formazioni a bande. Si tratta di miliardi di tonnellate di ossidi di ferro, inclusi in una matrice ricca di silice, che si sono depositati in un tempo di poche centinaia di milioni di anni, a cominciare da poco prima di due miliardi di anni fa. Solo una larga disponibilità di ossigeno ambientale avrebbe potuto consentire questa deposizione. Possiamo immaginare che negli oceani primitivi, anossici, il ferro esistesse in forma bivalente (ferroso), quindi solubile, disciolto in acqua di mare. La comparsa della fotosintesi aerobia rese disponibile ossigeno biologico, la cui concentrazione iniziò ad aumentare soprattutto negli strati più superficiali della colonna d'acqua. Qui cominciò a reagire con il ferro disciolto, trasformandolo in ferro trivalente (ferrico) e dando origine a ossidi di ferro idrati insolubili che precipitando, si accumularono assieme alla silice sul fondo degli oceani. Solo quando tutto il ferro non ossidato, o materiali analoghi, fu precipitato, la concentrazione dell'ossigeno atmosferico cominciò a salire.

fossili
Figura 2. Sezione di Stromatolite e (a destra) fossile di microalga filamentosa risalente a 2 miliardi di anni fa, proveniente dalla formazione di Gunflint (Ontario, Canada).

I Cianobatteri fotosintetizzanti, tuttavia, non erano i soli microrganismi presenti nei mari primitivi; altri, e forse più numerosi, procarioti operavano vari tipi di chemiosintesi, tra cui la fissazione dell'azoto, ed è forse tra questi che vanno ricercati i primi organismi aerobi. La respirazione aerobia fu possibile solo quando la concentrazione di ossigeno atmosferico raggiunse il cosiddetto "punto di Pasteur", pari a 1/100 dell'attuale concentrazione, un livello che è sufficiente a rendere vantaggiosa la vita aerobia. Tale soglia fu raggiunta probabilmente a partire da 2,8 miliardi di anni fa; per circa un miliardo di anni, tuttavia, la concentrazione di O2 si mantenne molto bassa (1-2 % dell'attuale) per l'azione di tamponamento operata dai minerali ferrosi. Con l'esaurirsi del ferro disciolto, forse 1,9-1,8 miliardi di anni fa, una grande quantità di ossigeno si rese disponibile e questo determinò, probabilmente, l'estinzione di numerose forme di vita anaerobie per le quali era tossico. Alcune trovarono rifugio in ambienti marginali o estremi che si mantengono costantemente anossici, altri svilupparono forme di resistenza, come le eterocisti, strutture biologiche interpretate in tal senso, molto comuni tra gli strati di quel periodo, strati che testimoniano anche la grande diffusione raggiunta, a quell'epoca, sia dagli stromatoliti che dai procarioti in generale. In questo periodo si svilupparono anche i primi eucarioti, gli acritarchi, organismi plantonici, eterotrofi, simili agli attuali dinoflagellati. La sempre più massiccia presenza di organismi fotosintetizzanti e no determinò un sensibile calo dell'anidride carbonica e un aumento dell'ossigeno tale da consentire la formazione di uno strato di ozono che, frapponendosi alle letali radiazioni ultraviolette, favorì ulteriormente lo sviluppo della vita.

Circa un miliardo di anni fa si verificò quello che può essere considerato uno degli eventi più importanti nella storia della Vita sulla Terra: la comparsa della respirazione cellulare che, operando la combustione completa delle sostanze nutritizie, consente una produzione di energia biologica 18 volte superiore a quella ottenibile con la semplice glicolisi anaerobia. La respirazione cellulare consentì di chiudere il ciclo del carbonio.

I processi di respirazione cellulare avvengono nei mitocondri. Questi organuli cellulari sono dotati di un proprio corredo genetico (analogamente ai cloroplasti). Questo particolare aspetto ha consentito di formulare la cosiddetta teoria endosimbiontica per spiegare l'origine delle cellule eucariote. In pratica, si immagina che l'attuale funzionalità cellulare sia il frutto di apposizioni successive di strutture biologiche, in grado di operare singole funzioni che si sono integrate in unica struttura, la cellula appunto, ricevendone vantaggio reciproco. Nel caso particolare dei mitocondri, si immagina che un primitivo procariote, in grado di fagocitare grandi quantità di nutrimento, sia entrato in associazione simbiontica con "protomitocondri" liberi capaci di operare la respirazione cellulare, ma con scarse capacità nutrizionali. È evidente che l'associazione tra queste due tipologie di organismi è estremamente vantaggiosa in termini di bilancio energetico: il procariote poteva fornire grandi quantità di nutrimento al protomitocondrio le cui capacità consentivano al primo un migliore recupero energetico. Numerosi dati molecolari sembrano confermare la bontà della teoria endosimbiontica, anche per altre strutture (ad esempio i cloroplasti); tra l'altro, forme di associazione tra organismi differenti sono osservabili anche al giorno d'oggi: un classico esempio è costituito dai licheni che risultano dall'associazione di un fungo con una alga.

Comunque, l'acquisizione della respirazione cellulare, con le sue implicazioni in termini di sfruttamento delle risorse, determinò anche la comparsa di una nuova fenomenologia ambientale: la predazione. Dal punto di vista energetico, la predazione rappresenta una sorta di investimento. Un organismo non in grado di sfruttare completamente le risorse disponibili (organismo fermentatore) non trova vantaggioso operare forme di predazione che comportino la ricerca attiva del cibo, perché rischia di spendere più energia di quella ricavabile dalla preda. Al contrario, per un organismo in grado di utilizzare al meglio l'energia contenuta in qualsiasi preda, l'attività di predazione diviene selettivamente vantaggiosa. La respirazione cellulare indusse, quindi, anche cambiamenti nei rapporti esistenti tra questi primi microrganismi. Dalle pacifiche comunità di procarioti, prive di qualsiasi forma di competizione diretta, si passò a forme di interazione e competizione diretta, interindividuali. Mentre tra i procarioti eterotrofi fermentatori la competitività nell'approccio alla risorsa era essenzialmente operata tramite un miglioramento di una funzionalità strutturale e metabolica che consentisse di nutrirsi il più possibile di un alimento abbondante e in continua sintesi (senza alcun timore di pascolare accanto ad un altro fermentatore), la comparsa della respirazione cellulare rese tutti potenziali prede. In pratica, nacque "l'omicidio" a scopo alimentare e si definirono i rapporti tra produttori primari e consumatori, tra autotrofi ed eterotrofi, tra predatori e prede.

L'ultima grande conquista della Vita fu sicuramente l'acquisizione della pluricellularità. Essa fu favorita per gli indubbi vantaggi che garantiva in termini di stabilità strutturale (aumento delle dimensioni, aumento delle capacità rigenerative, allungamento della vita) e di funzionalità (divisione del lavoro tra differenti ceppi cellulari riuniti in organi e tessuti). Questa condizione fu sicuramente acquisita attorno a 800 milioni di anni fa, periodo da cui ci pervengono microfossili di organismi interpretati come animali (Chitinozoi), rinvenuti in alcuni siti americani, dell'Arabia e della Groenlandia. Con quest'ultima acquisizione si completa il corredo fenomenologico della Vita ed essa potrà esprimere, nelle ere successive, una potenzialità ben lungi dall'essere, ad oggi, interamente compresa.

ediacara
Figura 3. Fauna precambriana di Ediacara.

I più antichi resti di organismi sicuramente appartenenti ad animali pluricellulari furono scoperti, nel 1947, nella Formazione di Ediacara (Australia meridionale), risalente al tardo Precambriano e datata tra i 670 e i 580 milioni di anni fa. La fauna di Ediacara (Fig. 3) è rappresentata da organismi dal corpo molle, privi di parti dure, tra cui dominano forme medusoidi, pennatulate e altre che sono considerate antenate di gruppi quali celenterati, anellidi, artropodi ed echinodermi. Pur essendo rappresentata da qualche decina di specie, la fauna di Ediacara denuncia una complessità strutturale tale da far supporre un'origine più antica, di cui non esiste documentazione. Infatti, tra questi primitivi organismi mancano rappresentanti di quei gruppi animali che caratterizzeranno fortemente le faune marine della successiva era Paleozoica, come molluschi e brachiopodi; inoltre, anche tra gli artropodi, o presunti tali, rinvenuti ad Ediacara nessuno è un chiaro antenato dei trilobiti, uno dei gruppi guida del Paleozoico. Alcuni paleontologi, tuttavia, ritengono scorretto il tentativo di classificare la fauna di Ediacara usando gruppi animali attuali. Al contrario, essi andrebbero considerati come una serie di "tentativi evolutivi", in gran parte falliti, di definire architetture animali poi abbandonate nel corso dell’evoluzione. Solo alcuni di questi esperimenti sarebbero stati in grado di originare ulteriori rappresentanti, mentre la maggior parte di essi sarebbero finiti in vicoli ciechi dell'evoluzione. In ogni modo, queste faune (rinvenute in seguito anche in Africa, Inghiltera e nella Siberia settentrionale) documentano comunque l'esistenza, nel tardo Precambriano, di organismi pluricellulari ben strutturati e, probabilmente, più differenziati, come numero di specie, di quanto la documentazione fossile lasci supporre.



Paleozoico: da 590 a 248 milioni di anni fa